Faccette dentali

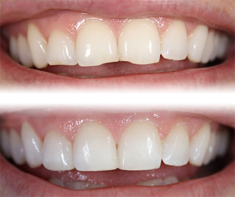
Le faccette dentali sono una sorta di guscio di ceramica. Questo guscio viene applicato alla superficie esterna del dente.

Prima di mettere la faccetta il dente viene limato. Le faccette sono fatte dal materiale scelto per la sua resistenza ed il suo risultato naturale. Le faccette sono soluzioni assimilabili a delle corone parziali.

Le faccette sono soluzioni assimilabili a delle corone parziali. In questo caso non vi è la necessità di limare molto il dente.

Faccette dentali

Attraverso questa procedura si possono raggiungere facilmente colorazione e forma del dente desiderate.



Contatto

Facebook

Sidebar Menu