Estetica eccelente!

Ceramica integrale senza metallo (zirconio)

Forza, piccolo peso e grande resistenza alla ruggine sono i vantaggi degli impianti in titanio utilizzati quotidianamente negli interventi di odontoiatria.
I materiali a base di zirconio sostituiscono sempre più frequentemente i materiali convenzionali impiegati per corone e ponti in metallo ceramica. Questa soluzione risponde alle richieste di risultati estetici sempre più alti, alla preferenza per materiali non metallici.

I vantaggi del zirconio sono:

  • Eccellente caratteristica meccanica e resistenza
  • Eccellente estetica: risultato naturale della ceramica applicata su zirconio
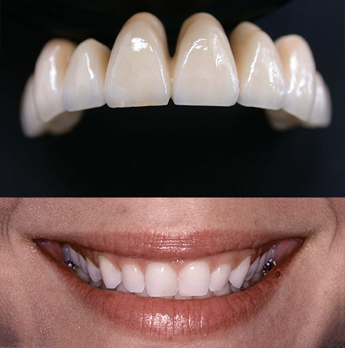
Le corone in Zirconio

Il materiale migliore per la produzione di rivestimenti estetici in campo dentale è sicuramente la ceramica.

Bisogna innanzitutto fare una distinzione tra ceramica e porcellana: comunemente si usa il termine porcellana anche per le protesi dentali ma in modo errato. Per le applicazioni dentarie si dovrebbe usare il termine ceramica, che differisce sostanzialmente dalla porcellana per la quasi assoluta assenza di caolino. Per precisione chiameremo perciò ceramica il materiale più estetico e biologicamente accettato per gli usi protesici del cavo orale.

Per molti decenni l’uso delle ceramiche dentali è stato abbinato solo a metalli, preziosi e non, che, con l’evoluzione delle tecnologie e dei materiali, hanno portato la protesica “fissa” a livelli di estetica e robustezza ottimali.
Negli ultimi dieci anni si sono affacciati progetti sviluppati per la produrre ceramica integrale (cioè prive di metallo = metal free) che, limitatamente ad alcune applicazioni protesiche (corone singole ed intarsi in ceramica) donano risultati estetici più naturali.
Negli ultimi dieci anni si sono affacciati progetti sviluppati per la produrre ceramica integrale (cioè prive di metallo = metal free) che, limitatamente ad alcune applicazioni protesiche (corone singole ed intarsi in ceramica) donano risultati estetici più naturali.

Si tratta di ceramiche create in speciali forni (con la tecnica della “cera persa”) che una volta ricoperte con ceramiche a basso punto di fusione (750-800°C) donano alle corone una lucentezza e naturalezza inarrivabili con qualsiasi metallo-ceramica e vengono impiegate specialmente nei settori anteriori dove l’ esigenza estetica non è rinunciabile.

Il limite di queste ceramiche è la relativa fragilità che non consente la loro applicazione nel caso di ponti, specialmente nei quadranti posteriori dove il carico masticatorio supera di gran lunga il carico di rottura del materiale ceramico.
Non potendo coprire ogni esigenza protesica, verso la fine del secolo scorso l’industria del settore (usufruendo delle tecnologie cad-cam), sviluppò ed adattò un materiale con proprietà che sembravano rispondere alle esigenze dentali: lo zirconio.

Usiamo il verbo “adattare” perché lo zirconio puro non era certo il materiale adatto alla protesi dentaria e per questo si arrivò a creare l’ossido di zirconio Y-TZP: zirconio tetragonale policristallino stabilizzato con ossido di ittrio.

Le corone in Zirconio