Soluzioni definitive più frequenti
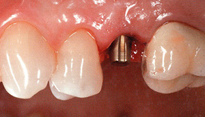
Un dente su impianto
Il trattamento standard per l’inserimento degli impianti dentali si svolge, di solito, in 2-3 fasi:
1. Prima dell’intervento
Si effettua la visita e la panoramica ortodontica sulla cui base viene pianificato il successivo intervento.2. Inserimento dell’impianto
L’impianto viene collocato nel punto previsto e chiuso con una speciale vite di guarigione che difende la parte interna dell’impianto durante il periodo di osteointegrazione. Il tempo per l' osteointegrazione dipende da più fattori e può durare dai 3 ai 6 mesi.3. Posizionamento della corona
Quando l’impianto si e’ ossointegrato, si inserisce una sovrastruttura (moncone). Viene presa l’impronta del morso sulla base della quale si prepara la corona. La corona così ottenuta si ancora sulla sovrastruttura e abbiamo il nuovo dente.4. Nuovo dente sull’impianto
Il nuovo dente si comporta come quelli naturali e va curato come questi ultimi, e cioè predendosi cura quotidianamente della propria igiene orale.Piccolo ponte sugli impianti
Se gli spazi tra i denti sono contigui, viene inserito un ponte sugli impianti:
1. Prima dell’intervento
Ad esempio, mancano tre denti nella parte posteriore della mandibola. Il ponte che prenderà il posto dei denti mancanti consiste in tre denti che trovano appoggio sugli impianti.2. Inserimento dell’impianto
Dopo la visita e la pianificazione dell’intervento, vengono inseriti gli impianti. Il tempo per l' osteointegrazione dipende da più fattori e può durare dai 3 ai 6 mesi.3. Posizionamento del ponte
Quando gli impianti sono ossointegrati si mettono le sovrastrutture e si prendono le impronte del morso sulla cui base si farà un ponte di corone. Il ponte ottenuto si ancora sulle sovrastrutture (monconi) e abbiamo i nuovi denti.4. Ponte di denti nuovi
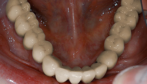
Il ponte con i nuovi denti sarà in grado di resistere alla stessa pressione cui sono sottoposti i denti naturali. Inoltre, bisogna curarli regolarmente così come quelli naturali.Ponte circolare sugli impianti - protesi fissa per tutta l'arcata
1. Prima dell’intervento
Si effettua la visita e la panoramica ortodontica sulla cui base viene pianificato l’intervento successivo.2. Inserimento degli impianti
Gli impianti vengono inseriti nelle posizioni e nelle quantità concordate (4-8). Il posizionamento e la quantità vengono determinate in base alla condizione ossea. Dopo l’inserimento degli impianti viene preparata una protesi mobile con denti provvisori che va portata fino a quando non si ottiene il ponte con i denti definitivi.3. Posizionamento del ponte
Quando gli impianti si ossointegrano, si prende il morso e si prepara il ponte che nella sua forma defitiva viene ancorato sugli impianti e sulle sovrastrutture (monconi).4. Ponte con i nuovi denti
Sarà difficile distinguere i denti nuovi da quelli naturali. I pazienti che hanno portato protesi parziali o totali si sentiranno come se avessero ancora i loro denti naturali.Protesi semifissa su impianti per tutta l'arcata - Overdenture
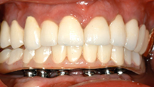
1. Prima dell’intervento
Si effettua la visita e la panoramica ortodontica sulla cui base viene pianificato l’intervento successivo.2. Inserimento dell’impianto
Gli impianti vengono inseriti in posizioni e quantità programmate (4 nella mascella, 2 nella mandibola). Il posizionamento e la quantità degli impianti dipendono dalla condizione dell' ossatura. Dopo l’inserimento dell’impianto viene preparata una protesi mobile provvisoria che viene portata fino a quando non si ottengono i denti definitivi su ponte.3. Ancoraggio dell’aggancio (palle – barre)
Quando gli impianti si ossointegrano, su di questi vegono fissati attacchi a palla o a barre. In un secondo momento gli stessi serviranno da ancoraggio per la protesi semifissa che monta internamente ganci compatibili per tenere la protesi in posizione.4. Protesi su impianti
Le protesi semifisse sugli impianti sono ben ancorate in bocca, fisse e sicure. Con loro i pazienti ottengono una soluzione di alta estetica e funzionalità.Nuovi denti in 24 ore o "All on four"
"All on four" e’ un metodo impiantologico relativamente nuovo che permette ai pazienti senza denti o con le dentiere di ottenere in appena 24 ore un perfetto sorriso e la sicurezza con i nuovi denti. La peculiarita’ di questo metodo e’ che i denti di un’arcata completa si fissano su quattro impianti. Grazie allo speciale metodo d’inserimento dell’impianto, non c’e’ bisogno dell’aumentazione ossea, che e’ invece spesso il caso in tali procedure.
"ALL ON FOUR" e’ la soluzione ideale per i pazienti che a causa di carenza ossea non sono candidati all’impiantologiaca tradizionale oppure desiderano ottenere di piu’ dalla stessa. Con questo metodo gli impianti vengono inseriti nella parte frontale dell’arcata in cui si trova una buona quantita’ di ossa. Gli impianti vengono inseriti con un’angolatura specifica e riescono a comprendere più osso, il che’ esclude automaticamente la necessita’ di aumentazione ossea e rialzo del seno.
Pre - requisito per gli impianti totali "All on four"
Il dottore effettuerà un' analisi approfondita e determinerà caso per caso se questo tipo di trattamento è possibile. Per quest'intervento e' necessaria:
- Adeguata ossatura della mascella o mandibola
- Buona igiene orale
- Buona salute
- Non soffrire di bruxismo
- Alimentazione particolare per 8-12 settimane dopo l’intervento
I vantaggi:
- Sensazione naturale in bocca
- Ancoraggio stabile e definitivo subito
- Aspetto naturale
- Soluzione economica




