Protesi semifissa
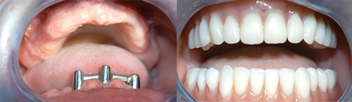
Overdenture e' un tipo di protesi semifissa che viene inserita su impianti dentali. Gli impianti dentali vengono inseriti nella mascella tramite attacchi speciali sui quali verra' montata successivamente la protesi overdenture. Questi attacchi possono avere la forma di una sfera o di una barra. La caratteristica interessante della soluzione overdenture risiede nella possibilita' di toglierla facilmente per la pulizia e reinserirla saldamente in posizione per tutte le nostre attivita' quotidiane, compresa quella di dormire.